Dentist in Nashville, TN
Creating Gorgeous Smiles
- Accepting New Patients
- 140+ 5-Star Google Reviews
- Emergency Care Available
- Free Consultations for New Patients

Serving Greater Nashville Dedicated to Advanced Care
Welcome to Warner Parks Family Dental, a privately owned and operated dental practice in Nashville, TN, led by Dr. Bob Wilson, DMD, FICOI. We are dedicated to providing every patient with compassionate care and believe that building a trusting relationship is crucial to achieving this goal.
We hold ourselves to the highest professional standards through advanced care using high-tech tools like cone beam CT imaging, PRF therapy, and digital photography. Our excellent dental care is tailored to each patient's needs in a comfortable and caring environment.
Creating Beautiful Smiles in Nashville
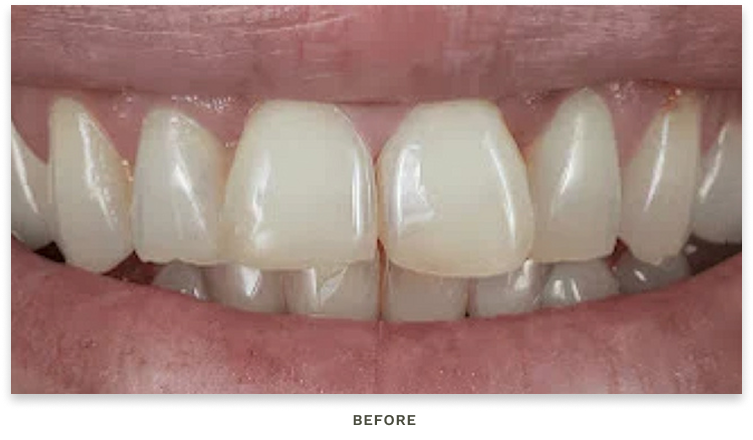
Whether you need a comprehensive plan to address widespread oral health concerns or you simply wish to fine-tune the appearance of your smile, our Nashville dentist gives you options. This patient had worn, discolored teeth that contributed to an imbalanced smile. Dr. Bob Wilson developed a custom treatment plan that improved symmetry and brought her smile into harmony with the rest of her facial features.


Join Our
Dental Family
We understand that when you're searching for a dentist in Nashville, TN, there are countless options. We believe our care stands out from the rest, and we consider it a privilege to treat every patient who walks through our doors. As a general dentist, we welcome patients of all ages, including children. However, if your child requires specialist care, we may refer them to a trusted pediatric dentist. If you're looking for a new dentist, want a second opinion, require emergency dentistry in Nashville, TN, or need a specific procedure and want to meet Dr. Wilson to talk it over, we'd like to offer you a free consultation. No pressure, just a warm welcome that will allow you to make the best decision for your oral health!
Are you a professional interested in becoming a team member at Warner Parks Family Dental? Please reach out to us at wpfdcareer@gmail.com.

Qualified & Passionate
Dr. Bob Wilson
Dr. Wilson earned his Bachelor of Science from the University of Georgia before completing his Doctorate of Dental Medicine at the Medical College of Georgia. He also earned his fellowship in dental implantology while completing residencies in Advanced Education in General Dentistry and a hospital-based General Practice Residency.
Dr. Wilson believes in a conservative and educational approach to dentistry, ensuring his patients understand their options and feel empowered in their treatment decisions.

“The best in Nashville.”
“What a wonderful experience! From the warm and welcoming front office team, to the ever so detailed and skilled hygienist, and of course the educational and comprehensive exam by Dr. Wilson. The best cleaning I’ve had here in Nashville. I really can’t say enough great things about Dr. Wilson and his team. I’m actually looking forward to my next visit!”
– Shelly, 5-Star Review
Care That Fits Your Budget
Our Membership Plan Saves Your Family Money
Warner Parks Family Dental offers affordable membership plans for just $436/year for adults and $461/year for children 12 and under. Here are just a few reasons why patients love this option:
- No dental insurance is needed; no claims to file
- Transparent annual fees and no hidden costs
- Preventive care is included
- 10% discount on restorative care, cosmetic treatments, and more
Financing & Reimbursement
We accept plans that offer out-of-network benefits, which means insurance companies don’t dictate our treatments. We develop the plans our patients need without cutting corners.
- We accept in-office and CareCredit® financing
Patient-first care with no corporate influence
- We’ll submit insurance paperwork on your behalf
- Our goal is to maximize your reimbursement
Complete Care for
the Whole Family
General Dentistry
- Dental Exams and Cleanings
- Emergency Dentistry
- Fluoride Treatments
- Mouth and Night Guards
- Root Canal Therapy
- Sedation Dentistry
- TMJ Treatment
- Tooth-Colored Fillings
- Wisdom Teeth Removal
Restorative Dentistry
Cosmetic Dentistry
- Smile Makeover
- Dental Bonding
- Clear Aligners
- Invisalign®
- SureSmile®
- Teeth Whitening
- Veneers
Dental Anxiety Is
No Problem
Dental anxiety and phobia are common and often lead to patients forgoing much-needed treatments. Our Nashville dental office provides sedation options to ensure a comfortable and positive experience for patients who have:
- Fear of needles
- Trouble sitting still
- Special needs
- Lengthy, complex treatments

Patients
Are a Priority
“I have a severe fear of dentists...but he put me at ease. He explained everything before doing anything and made sure I was comfortable. They have also worked with me about paying out of pocket. I have planned on making them my permanent dentist. Thank you guys for being understanding and kind.”
– Elizabeth, 5-Star Review
Your Family-Friendly Nashville Dentist Makes Your First Visit Easy
We strive to make your experience at our Nashville dentist as stress-free as possible. We've embraced a paperless office system to streamline communication, improve efficiency, and reduce our environmental impact. By integrating modern technology and digital tools, we're able to provide a seamless and user-friendly dental experience. Our paperless office features text and email notifications, online forms, and iPad check-in.

FAQ Answers from Our Dentist in Nashville, TN

How often should I visit the dentist for checkups?
We recommend that children and adults visit the dentist every six months for a cleaning and exam. Regular visits with Dr. Bob Wilson and our dental hygienists will help prevent cavities, gum disease, and other oral health problems.
Do you treat children?
We treat children ages three and up. We’re proud to be a comfortable dental practice for patients of all ages, and we’ll be happy to work with your busy schedule to see your entire family in one convenient visit.
Are you accepting new patients?
Yes! Whether you’re new to the Nashville area, want a second opinion, or want to talk about a specific procedure, Dr. Wilson and our team would love to meet you. New patient consultations are completely free.
"I don't usually give 5 stars but these folks deserve it. Each and every employee I came in contact with was polite and friendly. I went in for a tooth removal [… ] and it was probably the easiest and least stressful process. This doctor was beyond polite and professional. His work speaks for itself.
Bryant Ulrich, 5-Star Google Review






